近日,江苏省人民医院(南京医科大学第一附属医院、江苏省妇幼保健院)肺癌中心陈亮教授团队成功为一名60多岁的肺结节患者,实施了AI+AR(人工智能算法+增强现实技术)导航肺结节穿刺定位+3D-CTBA(三维肺血管支气管成像技术)荧光胸腔镜肺亚段切除术。据悉,这在国内外尚未见报道。
AI+AR导航突破传统困境,智能绘图助力精准定位
肺结节是当下胸外科最常见的疾病,以往,多数肺结节患者术前往往要多闯一道“难关”:得专程去CT室,在清醒状态下接受肺结节穿刺定位。这种CT引导的定位方式,不少患者等待手术时会被疼痛折磨,心里满是焦虑不安,更有甚者可能出现血气胸,让术前状态雪上加霜。
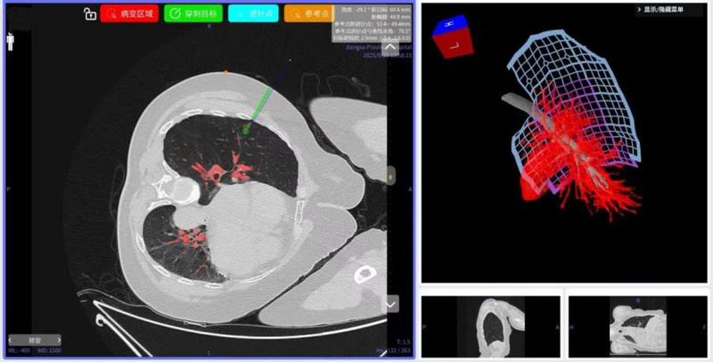
但在陈亮主任团队的细致评估与方案打磨下,患者张阿姨(化名)的手术从一开始就走上了“不一样的快车道”。术前,陈亮教授团队联合技术支持团队将张阿姨的CT影像导入专用系统,软件如同“智能绘图师”,瞬间自动生成一份肺部“全景导航图”——结节的大小、藏在肺部的具体位置,支气管蜿蜒的走向,肋骨与血管密密麻麻的分布,所有关键结构都清晰得像“标注好的地图”,相当于提前给手术团队画好了精准路线,彻底跟传统“凭经验盲穿”的不确定性说再见。

病人麻醉后,潘相龙医生戴上AR眼镜,目光聚焦患者的病灶区域,通过调整视角找准结节位置,手持定位针,并循着导航提示的“最优路径”,稳稳将一枚“伞形”标记物送到结节旁并释放——整个过程像 “精准打靶”,巧妙避开了肋骨和血管,全程流畅又安全。


AI与AR技术的“强强联手”,还让张阿姨胸部器官的“数字孪生体”以3D形式实时呈现在潘医生眼前,这一画面同时通过电脑屏幕同步给团队其他成员,大家 “同看一张精准图”,最终,定位过程仅用了不到10分钟,效率大幅提升。随后,陈亮主任团队按照术前3D-CTBA规划的方案,顺利为张阿姨实施荧光胸腔镜右肺S4a单亚段切除术——不仅精准定位、“清除”了肺结节,更最大限度保留了正常肺组织,为她术后快速恢复、维持良好肺功能打下了坚实基础。

技术赋能,守护患者健康
在AI-AR导航定位技术的加持下,患者无需在清醒状态下去 CT 室做穿刺定位,既能避免多次辐射、出现胸膜反应,有效降低气胸与出血风险,还能免除术前等待的焦虑和对穿刺的恐惧,真正实现 “精准、安全、无痛、无射线暴露”;对医生来说,直接在外科手术室就能完成患者肺结节定位,操作更简单便捷,不仅大幅优化手术流程,显著节省时间,手术安全性也进一步提升。
3D-CTBA指导下的胸腔镜肺亚段切除手术,是我院胸外科秉承“以患者为中心”理念的技术创新和成功实践。突破原有肺段切除术范畴,充分利用新技术,将切除手术推向解剖性呼吸单位,切除亚段、次亚段等更小范围,并实行多种形式的组合切除,让患者保留更多的健康肺组织,加之胸腔镜微创途径,堪称“微创中的微创”。
技术积淀引领行业前沿,新突破再拓精准治疗边界
近年来,江苏省人民医院胸外科在陈亮主任的带领下,完成了世界首例混合现实(MR)辅助下的肺段切除术及世界首例5G传输混合现实远程实时精准肺亚段切除手术,合作研发了首个具有中国自主知识产权的肺专用三维支气管血管重建软件“DeepInsigh”系统,开发三维精准导航技术,编写出版了世界上第一本系统阐述全胸腔镜精准肺亚段手术的书籍《胸腔镜解剖性肺亚段切除手术图谱》,建立了“以亚段为单位”精准肺段、肺亚段切除理论和技术体系,奋力推动以亚段为单位制定个体化切除方案。
目前,医院胸外科是全球唯一获英格兰皇家外科学院(RCS)认证的国际高级肺段切除术培训基地,精准肺亚段切除理论及技术体系入选江苏省年度行业领域(生物医药领域)十大科技进展奖、江苏省科技进步奖一等奖。
此次借力人工智能、增强现实等前沿科技,医院胸外科高质量完成全国首例 AI-AR 导航肺结节穿刺定位,3D-CTBA导航荧光胸腔镜肺亚段切除术,在精准肺段切除新路上再下一城,让前沿技术真正成为守护健康的“硬核力量”。
(潘相龙、吴怡)